Olá! Uns chamam-me Raquel, outros Dra. Raquel. Já me chamaram “dôtora”, “doc” e até “医生”. Para mim é tudo o mesmo: o nome muda, o cuidado fica.
Nasci em Évora, entre campos sem fim, conversas demoradas e famílias à volta da mesa. Do Alentejo trouxe a calma de escutar, a proximidade de explicar e o rigor de cuidar.
Depois veio Lisboa, a China, a Indonésia e Faro. De cada lugar trouxe algo comigo — aprendi que o mundo é feito de sotaques. Sotaques que mudam, mas sorrisos que ficam.
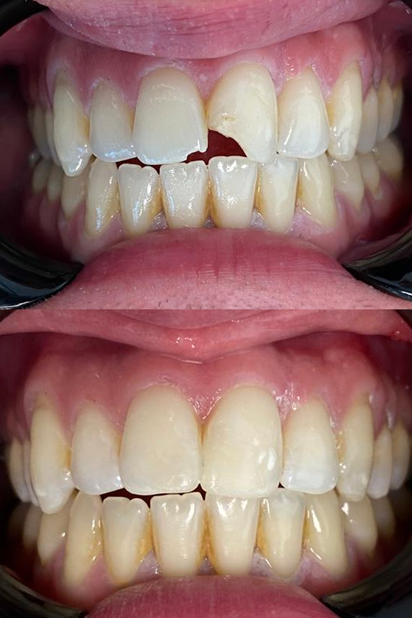
Hoje misturo tudo: a técnica de quem estudou, a experiência de quem viajou e o coração de quem nunca largou as raízes. Aqui não trato só de dentes — trato de pessoas, de histórias e de sorrisos.
Quero que sinta que vem a casa.
Sem pressas. Sem receios. Sem distâncias.
É assim que cuido — como quem cuida da família.
Porque sorrir é mais do que estética.
É confiança. É bem-estar.
É liberdade para ser quem quiser ser.



